Skip to content
Contact us
Search
My cart
My account
Products
Close Products
Open Products
Applications
Product Type
Research Area
Supplier
Cell-Based Assay
Chemiluminescence
Click Chemistry
Electrophoresis
ELISA
Enzyme Activity
EPR/ESR
Flow Cytometry
Fluorescence
High-Throughput Screening
Immunocytochemistry
Immunofluorescence
Immunohistochemistry
Immunoprecipitation
Mass Spectrometry
Multiplex
Reverse Transfection Reporter Assay
Sample preparation
TR-FRET
Western Blot
Antibodies
Assay Kits
Biochemicals
Disposable
Proteins
Cancer
Cardiovascular Disease
Cell Biology
Eicosanoids & Lipids
Endocrinology & Metabolism
Epigenetics
Epigenetics, Transcription & Translation
Forensic Chemistry & Toxicology
Immunology & Inflammation
Lipid Biochemistry
Metabolism
Neuroscience
Nitric Oxide & Oxidative Injury
Oxidative Stress & Reactive Species
Plant Biology
Toxicology
Bertin Bioreagent
Cayman
Research domains
Close Research domains
Open Research domains
Immunology
Metabolism
Neurosciences
Endocrinology
Hypertension
Oxidative injury
Allergy
Inflammation
Immunoglobulins
Pain
Diabetes
Obesity
Prion
Resources
News
About us
Home
/
More Antibodies
More Antibodies
There are 495 products
Search
Search
Search
Clear
Supplier
Supplier
Supplier
None
Cayman
Product Type
Product Type
Product Type
None
Antibodies
Biochemicals
Proteins
Application
Application
Application
None
Cell-Based Assay
Chemiluminescence
Click Chemistry
ELISA
Enzyme Activity
Flow Cytometry
Fluorescence
Immunocytochemistry
Immunohistochemistry
Mass Spectrometry
Western Blot
8-
Isoprostane Affinity Purification Kit
Cat n°: 501110
From
€
91.00
€
77.35
Select your size
View
ACE2 Polyclonal Antibody
Cat n°: 33336
€
474.00
€
402.90
Add to cart
View
Activated SureLight
®
Peridinin-
Chlorophyll Protein Complex (PerCP)
Cat n°: 16563
€
206.00
€
175.10
Add to cart
View
Anti-
EP
2
Receptor:SureLight™ R-
PE
Cat n°: 16684
€
826.00
€
702.10
Add to cart
View
Anti-
EP
4
Receptor (C-
Term):SureLight™ R-
PE
Cat n°: 16687
€
826.00
€
702.10
Add to cart
View
CD38 Rabbit Monoclonal Antibody
Cat n°: 32324
€
615.00
€
522.75
Add to cart
View
Citrullinated Myelin Basic Protein (R130) Monoclonal Antibody (Clone 3C6)
Cat n°: 33911
€
414.00
€
351.90
Add to cart
View
EP
3
Receptor Blocking Peptide
Cat n°: 301760
€
199.00
€
169.15
Add to cart
View
MitoCheck
®
Mitochondrial (Tissue) Isolation Kit
Cat n°: 701010
€
308.00
€
261.80
Add to cart
View
Mouse Anti-
HA IgG:
SureLight
®
APC
Cat n°: 16610
€
832.00
€
707.20
Add to cart
View
Nitrotyrosine IP Kit
Cat n°: 601220
€
691.00
€
587.35
Add to cart
View
Normal Rabbit IgG-
FITC
Cat n°: 10010322
€
191.00
€
162.35
Add to cart
View
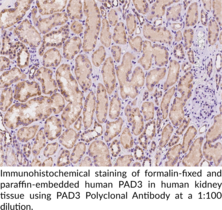
PAD3 Polyclonal Antibody
Cat n°: 33913
From
€
168.00
€
142.80
Select your size
View
S-
Glutathionylated Protein Detection Kit
Cat n°: 10010721
€
525.00
€
446.25
Add to cart
View
SARS-CoV-2 (human) Neutralizing Recombinant Antibody
Cat n°: 32526
€
513.00
€
436.05
Add to cart
View
Streptavidin: SureLight
®
R-PE
Cat n°: 13434
From
€
574.00
€
487.90
Select your size
View
Streptavidin:
Eu-W1024
Cat n°: 16581
From
€
861.00
€
731.85
Select your size
View
Streptavidin:
SureLight
™
APC
Cat n°: 16630
€
772.00
€
656.20
Add to cart
View
Streptavidin:
SureLight
™
P3
Cat n°: 13457
€
574.00
€
487.90
Add to cart
View
Thioredoxin Reductase Fluorescent Activity Assay Kit
Cat n°: 11529
€
753.00
€
640.05
Add to cart
View
VEGF-A (C-Term) Rabbit Monoclonal Antibody
Cat n°: 32323
€
615.00
€
522.75
Add to cart
View
β2-Microglobulin (dog) Monoclonal Antibody (Clone 5D8)
Cat n°: 33370
€
474.00
€
402.90
Add to cart
View
1
2
3
4
…
11
12
13
»