Skip to content
Contact us
Search
My cart
My account
Products
Close Products
Open Products
Applications
Product Type
Research Area
Supplier
Cell-Based Assay
Chemiluminescence
Click Chemistry
Electrophoresis
ELISA
Enzyme Activity
EPR/ESR
Flow Cytometry
Fluorescence
High-Throughput Screening
Immunocytochemistry
Immunofluorescence
Immunohistochemistry
Immunoprecipitation
Mass Spectrometry
Multiplex
Reverse Transfection Reporter Assay
Sample preparation
TR-FRET
Western Blot
Antibodies
Assay Kits
Biochemicals
Disposable
Proteins
Cancer
Cardiovascular Disease
Cell Biology
Eicosanoids & Lipids
Endocrinology & Metabolism
Epigenetics
Epigenetics, Transcription & Translation
Forensic Chemistry & Toxicology
Immunology & Inflammation
Lipid Biochemistry
Metabolism
Neuroscience
Nitric Oxide & Oxidative Injury
Oxidative Stress & Reactive Species
Plant Biology
Toxicology
Bertin Bioreagent
Cayman
Research domains
Close Research domains
Open Research domains
Immunology
Metabolism
Neurosciences
Endocrinology
Hypertension
Oxidative injury
Allergy
Inflammation
Immunoglobulins
Pain
Diabetes
Obesity
Prion
Resources
News
About us
Home
/
Immunocytochemistry
Immunocytochemistry
There are 69 products
Search
Search
Search
Clear
Supplier
Supplier
Supplier
None
Cayman
Product Type
Product Type
Product Type
None
Antibodies
Assay Kits
Biochemicals
Application
Application
Application
None
Flow Cytometry
Fluorescence
(+)-5-
trans
Cloprostenol
Cat n°: 10004970
From
€
128.00
€
108.80
Select your size
View
(±)5-
epi
CP 55,940
Cat n°: 13803
From
€
176.00
€
149.60
Select your size
View
(R)-
Butaprost
Cat n°: 13745
From
€
203.00
€
172.55
Select your size
View
ent
-8-
iso
Prostaglandin F
2?
Cat n°: 10011545
From
€
180.00
€
153.00
Select your size
View
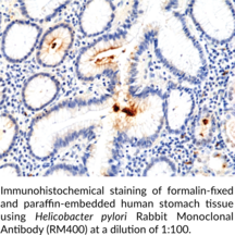
Helicobacter pylori
Rabbit Monoclonal Antibody
Cat n°: 32325
€
615.00
€
522.75
Add to cart
View
1,3-Dioleoyl-2-Lauroyl Glycerol
Cat n°: 27287
From
€
48.00
€
40.80
Select your size
View
11-
dehydro Thromboxane B
2
Quant-
PAK
Cat n°: 10006831
€
1,943.00
€
1,651.55
Add to cart
View
11?-
Hydroxysteroid Dehydrogenase (Type 2) Polyclonal Antibody
Cat n°: 10004549
€
474.00
€
402.90
Add to cart
View
15-
Lipoxygenase-
2 Blocking Peptide
Cat n°: 10004457
€
199.00
€
169.15
Add to cart
View
15-
Lipoxygenase-
2 Polyclonal Antibody
Cat n°: 10004454
€
474.00
€
402.90
Add to cart
View
16,16-dimethyl Prostaglandin E
1
Cat n°: 13750
From
€
109.00
€
92.65
Select your size
View
2-methyl DMT
Cat n°: 29347
Contact us
View
3-Deazane
planocin A
Cat n°: 13828
From
€
146.00
€
124.10
Select your size
View
4-cyano CUMYL-BUT7AICA
Cat n°: 22818
Contact us
View
4′-hydroxy Nitazene
Cat n°: 30218
Contact us
View
5-
OxoETE Receptor Polyclonal Antibody
Cat n°: 100025
€
474.00
€
402.90
Add to cart
View
5-methoxy MET
Cat n°: 29349
Contact us
View
6-
keto Prostaglandin F
1?
Quant-
PAK
Cat n°: 10006830
€
819.00
€
696.15
Add to cart
View
8-bromo-Cyclic ADP-Ribose (sodium salt)
Cat n°: 18442
€
695.00
€
590.75
Add to cart
View
Antioxidant Assay Trolox
Cat n°: 10004876
€
35.00
€
29.75
Add to cart
View
Apelin-13 (trifluoroacetate salt)
Cat n°: 13523
From
€
85.00
€
72.25
Select your size
View
Biotin-
X-
NHS
Cat n°: 13316
From
€
176.00
€
149.60
Select your size
View
C20 and C22 Fatty Acid Methyl Ester Mixture
Cat n°: 29336
€
213.00
€
181.05
Add to cart
View
CAY10408
Cat n°: 13747
From
€
226.00
€
192.10
Select your size
View
CCL5/RANTES (human, recombinant)
Cat n°: 32858
From
€
302.00
€
256.70
Select your size
View
Citropten
Cat n°: 29338
From
€
55.00
€
46.75
Select your size
View
Comprehensive Fatty Acid Methyl Ester Mixture 2
Cat n°: 29335
€
268.00
€
227.80
Add to cart
View
COX Inhibitor Pack
Cat n°: 10186
€
932.00
€
792.20
Add to cart
View
Cytokeratin 7 (C-Term) Rabbit Monoclonal Antibody (Clone RM416)
Cat n°: 32337
€
615.00
€
522.75
Add to cart
View
DL-
erythro/threo
–
Isocitric Acid (sodium salt hydrate)
Cat n°: 32541
From
€
68.00
€
57.80
Select your size
View
DREADD Agonist 21
Cat n°: 18907
From
€
72.00
€
61.20
Select your size
View
FFAR1 (GPR40) Polyclonal Antibody
Cat n°: 10007205
€
474.00
€
402.90
Add to cart
View
FMOC-
L-
Leucine
Cat n°: 10004888
From
€
29.00
€
24.65
Select your size
View
Goat Anti-
Mouse IgG:
DyLight
®
650
Cat n°: 16559
€
772.00
€
656.20
Add to cart
View
GPR40 Blocking Peptide
Cat n°: 10007206
€
199.00
€
169.15
Add to cart
View
HDAC Assay Buffer (10X)
Cat n°: 10006389
€
31.00
€
26.35
Add to cart
View
HDAC Trichostatin A
Cat n°: 10006391
€
23.00
€
19.55
Add to cart
View
Histone H3.3 Polyclonal Antibody
Cat n°: 13784
€
533.00
€
453.05
Add to cart
View
IgA1 and IgA2 (human) Rabbit Monoclonal Antibody – Biotinylated
Cat n°: 32368
€
617.00
€
524.45
Add to cart
View
IgG3 (mouse) Rabbit Monoclonal Antibody – Biotinylated
Cat n°: 32354
€
617.00
€
524.45
Add to cart
View
1
2
»