Primary Eicosanoid HPLC Mixture
Primary Eicosanoid HPLC Mixture
This mixture contains the primary COX products produced by most mammalian tissues. Contents: Prostaglandin D2, Prostaglandin E2, 6-keto Prostaglandin F1?,...
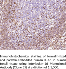
IL-16 is a cytokine that has roles as a T cell chemoattractant and modulator of T cell activation.{60944,60945} It is synthesized as a 631-amino acid precursor protein, precursor IL-16, that is cleaved by caspase-3 at serine 511 (Ser511), which produces the N-terminal peptide, pro-IL-16, and the 121-amino acid C-terminal peptide, mature IL-6, both of which are biologically active.{60945} Pro-IL-16 translocates to the nucleus, where it acts as a transcriptional repressor of S-phase kinase-associated protein 2 (Skp2), preventing cell cycle entry, whereas mature IL-16 is secreted upon antigen or pro-inflammatory cytokine stimulation and acts as a CD4+ T cell chemoattractant.{60945,60946} Precursor IL-16 is constitutively expressed by CD8+ or CD4+ T cells.{60946} Caspase-3-mediated cleavage of precursor IL-16 is constitutive in CD8+ T cells, which store mature IL-16 in vesicles until antigen, mitogen, or vasoactive amine stimulation, whereas caspase-3 activation by mitogens or antigens is a prerequisite for precursor IL-16 processing in CD4+ T cells. IL-16 production can also be induced by growth factor, cytokine, or mitogen stimulation in other leukocytes, including macrophages, dendritic cells, mast cells, and eosinophils. IL-16 has roles in numerous inflammatory conditions.{60947} Serum IL-16 levels are increased in patients infected with severe acute respiratory syndrome coronavirus (SARS-CoV) or hepatitis C virus (HCV), and IL-16 levels are increased in the CNS or synovial fluid of patients with multiple sclerosis or rheumatoid arthritis, respectively. Cayman’s Interleukin-16 Monoclonal Antibody can be used for immunohistochemistry (IHC) applications. The antibody recognizes IL-16 from human samples.
Territorial Availability: Available through Bertin Technologies only in France
| Size | 100 µl, 200 µl, 50 µl |
|---|---|
| Shipping | dry ice |
| Molecular weight | |
| Antigen | Recombinant human IL-16 protein |
| Host | Mouse |
| Clone | Monoclonal, #55 |
| Isotype | IgG1 |
| Custom code | 3822.19 |
| Application(s) | IHC |
| Formulation | 50, 100, or 200 µl of protein A-purified monoclonal antibody |
| UNSPSC code | 12352203 |
Cayman Chemical’s mission is to help make research possible by supplying scientists worldwide with the basic research tools necessary for advancing human and animal health. Our utmost commitment to healthcare researchers is to offer the highest quality products with an affordable pricing policy.
Our scientists are experts in the synthesis, purification, and characterization of biochemicals ranging from small drug-like heterocycles to complex biolipids, fatty acids, and many others. We are also highly skilled in all aspects of assay and antibody development, protein expression, crystallization, and structure determination.
Over the past thirty years, Cayman developed a deep knowledge base in lipid biochemistry, including research involving the arachidonic acid cascade, inositol phosphates, and cannabinoids. This knowledge enabled the production of reagents of exceptional quality for cancer, oxidative injury, epigenetics, neuroscience, inflammation, metabolism, and many additional lines of research.
Our organic and analytical chemists specialize in the rapid development of manufacturing processes and analytical methods to carry out clinical and commercial GMP-API production. Pre-clinical drug discovery efforts are currently underway in the areas of bone restoration and repair, muscular dystrophy, oncology, and inflammation. A separate group of Ph.D.-level scientists are dedicated to offering Hit-to-Lead Discovery and Profiling Services for epigenetic targets. Our knowledgeable chemists can be contracted to perform complete sample analysis for analytes measured by the majority of our assays. We also offer a wide range of analytical services using LC-MS/MS, HPLC, GC, and many other techniques.
Accreditations
ISO/IEC 17025:2005
ISO Guide 34:2009
Cayman is a leader in the field of emerging drugs of abuse, providing high-purity Schedule I-V Controlled Substances to federally-licensed laboratories and qualified academic research institutions for forensic analyses. We are certified by ACLASS Accreditation Services with dual accreditation to ISO/IEC 17025:2005 and ISO Guide 34:2009.
This mixture contains the primary COX products produced by most mammalian tissues. Contents: Prostaglandin D2, Prostaglandin E2, 6-keto Prostaglandin F1?,...
CD34 is a transmembrane phosphoglycoprotein and sialomucin protein that is commonly used as a marker for hematopoietic progenitor cells.{59706,59704} It...
This mixture contains the characteristic metabolites of both PGI2 and TXA2. Contents: Thromboxane B2, 11-dehydro Thromboxane B2, 6-keto Prostaglandin F1?,...
24(S),25-epoxy Cholesterol is an oxysterol and the most abundant oxysterol in mouse ventral midbrain.{43943} It activates liver X receptors (LXRs)...
Nuclear factor erythroid 2-related factor 2 (Nrf2) is a basic leucine zipper transcription factor encoded by NFE2L2 in humans that...
This mixture contains the primary metabolites of prostaglandins (PGs) D2, E2, and F2?. Contents: 13,14-dihydro-15-keto PGD2, 13,14-dihydro-15-keto PGE2, 11?-PGF2?, 13,14-dihydro-15-keto...
This rabbit anti-mouse IgA FITC is used as the ‘secondary antibody’ for immunostaining experiments where the primary antibody is mouse...
The cyclopentenone prostaglandin HPLC mixture contains all of the major UV-absorbing cyclopentenone prostaglandins and their precursors supplied in methyl acetate....
Adenosine Receptor A2A is a multi-pass membrane protein that is normally localized to the plasma membrane.{15465} This receptor is part...
Endocannabinoids, such as arachidonoyl ethanolamide (AEA) and 2-arachidonoyl glycerol (2-AG), function as short-range modulators of cell and synaptic activity. Monoacylglycerol...
Secretory phospholipase A2 (sPLA2) (Type IIA) is a calcium-dependent PLA2 superfamily member that is encoded by PLA2G2A in humans.{56210} It...
Protein phosphorylation is an important post-translational modification that serves many key functions to regulate a protein’s activity, localization, and protein-protein...
Proprotein convertase subtilisin kexin 9 (PCSK9) is a member of the subtilisin serine protease family with an important role in...
GPR17 is a G protein-coupled receptor that has been identified as a dualistic receptor recognizing signals from two unrelated chemical...
Cytosolic PGE synthase (cPGES) is a glutathione-dependent enzyme with a predicted size of 18.6 kDa (23 kDa on SDS-PAGE). The...
(+)-D-threo-PDMP is a ceramide analog and is one of the four possible stereoisomers of PDMP (Item No. 62595).{11392} (+)-D-threo-PDMP is...
GST-tag Polyclonal Antibody (FITC) is a probe for the immunochemical detection of GST tags on recombinant proteins. Recombinant proteins are...
The Cayman COX Inhibitor Pack contains a combination of frequently used cyclooxygenase (COX) inhibitors. Each kit contains aspirin, the archetype...