Skip to content
Contact us
Search
My cart
My account
Products
Close Products
Open Products
Applications
Product Type
Research Area
Supplier
Cell-Based Assay
Chemiluminescence
Click Chemistry
Electrophoresis
ELISA
Enzyme Activity
EPR/ESR
Flow Cytometry
Fluorescence
High-Throughput Screening
Immunocytochemistry
Immunofluorescence
Immunohistochemistry
Immunoprecipitation
Mass Spectrometry
Multiplex
Reverse Transfection Reporter Assay
Sample preparation
TR-FRET
Western Blot
Antibodies
Assay Kits
Biochemicals
Disposable
Proteins
Cancer
Cardiovascular Disease
Cell Biology
Eicosanoids & Lipids
Endocrinology & Metabolism
Epigenetics
Epigenetics, Transcription & Translation
Forensic Chemistry & Toxicology
Immunology & Inflammation
Lipid Biochemistry
Metabolism
Neuroscience
Nitric Oxide & Oxidative Injury
Oxidative Stress & Reactive Species
Plant Biology
Toxicology
Bertin Bioreagent
Cayman
Research domains
Close Research domains
Open Research domains
Immunology
Metabolism
Neurosciences
Endocrinology
Hypertension
Oxidative injury
Allergy
Inflammation
Immunoglobulins
Pain
Diabetes
Obesity
Prion
Resources
News
About us
Home
/
Antibodies
/
Page 2
Antibodies
Blocking Peptides
Enzyme Activity
Epitope Tags
Monoclonal Antibodies
There are 155 products
Search
Search
Search
Clear
Supplier
Supplier
Supplier
None
Cayman
Product Type
Product Type
Product Type
None
Biochemicals
Application
Application
Application
None
Click Chemistry
ELISA
Enzyme Activity
Fluorescence
Mass Spectrometry
4E-BP1 (Total) and 4E-BP1 (Phospho-Thr
37/46
) TR-FRET Assay Kit
Cat n°: 500225
Get a quote
View
4E-BP1 (Total) TR-FRET Assay Kit
Cat n°: 500226
Get a quote
View
5-
Lipoxygenase (Phospho-
Ser
523
) Polyclonal Antibody
Cat n°: 10007820
Get a quote
View
5-
Lipoxygenase Blocking Peptide
Cat n°: 360402
Get a quote
View
5-
OxoETE Receptor Blocking Peptide
Cat n°: 10006618
Get a quote
View
5-
OxoETE Receptor Polyclonal Antibody
Cat n°: 100025
Get a quote
View
5-Hydroxy
methyl
cytosine Polyclonal Antibody
Cat n°: 18289
Get a quote
View
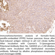
5-Lipoxygenase Polyclonal Antibody
Cat n°: 160402
Get a quote
View
5α-Androstan-3α,17ß-diol Polyclonal Antibody
Cat n°: C03154
Get a quote
View
5α-Androstan-3ß,17ß-diol Polyclonal Antibody
Cat n°: C03155
Get a quote
View
6-keto Prostaglandin E1 Polyclonal Antibody
Cat n°: C03019
Get a quote
View
6-keto Prostaglandin F1α Polyclonal Antibody (P)
Cat n°: C03051
Get a quote
View
6,15-diketo Prostaglandin F1α Polyclonal Antibody
Cat n°: C03052
Get a quote
View
8-
Isoprostane Affinity Purification Kit
Cat n°: 501110
Get a quote
View
9α,11ß Prostaglandin F2 Polyclonal Antibody
Cat n°: C03056
Get a quote
View
ACE2 (human) Monoclonal Antibody – Biotinylated (Clone AC18F)
Cat n°: 30583
Get a quote
View
ACE2 (human) Monoclonal Antibody (Clone 8G5)
Cat n°: 31359
Get a quote
View
ACE2 (human) Monoclonal Antibody (Clone AC18F)
Cat n°: 30582
Get a quote
View
ACE2 (human) Monoclonal Antibody (Clone AC384; preservative free)
Cat n°: 32028
Get a quote
View
ACE2 (human) Monoclonal Antibody (Clone AC384)
Cat n°: 30584
Get a quote
View
ACE2 Assay Buffer (10X)
Cat n°: 502101
Get a quote
View
ACE2 Enzyme (human, recombinant)
Cat n°: 502102
Get a quote
View
ACE2 Inhibitor Screening Assay Kit
Cat n°: 502100
Get a quote
View
ACE2 Inhibitor Screening Reagent
Cat n°: 402057
Get a quote
View
ACE2 Polyclonal Antibody
Cat n°: 33336
Get a quote
View
ACE2 Reagent Concentrate
Cat n°: 502072
Get a quote
View
ACE2 Reverse Transfection Black/Clear Plate
Cat n°: 701971
Get a quote
View
ACE2 Substrate (Mca-APK (Dnp))
Cat n°: 502103
Get a quote
View
ACE2-HRP Conjugate
Cat n°: 502182
Get a quote
View
ACE2-HRP Conjugate
Cat n°: 502204
Get a quote
View
ACE2-HRP Conjugate
Cat n°: 502222
Get a quote
View
Acetyl Lysine Monoclonal Antibody (Clone 7F8)
Cat n°: 10010567
Get a quote
View
Acetyl Lysine Monoclonal Antibody (Clone RM101)
Cat n°: 32125
Get a quote
View
Acetyl Lysine Polyclonal Antibody HRP Conjugate
Cat n°: 13726
Get a quote
View
Acetyl-CoA Carboxylase 1 (Phospho-Ser
79
) Rabbit Monoclonal Antibody
Cat n°: 32220
Get a quote
View
Acetyl-CoA Carboxylase 1 Rabbit Monoclonal Antibody
Cat n°: 32192
Get a quote
View
AChE (eel) Monoclonal Antibody (Clone 5E2)
Cat n°: 23855
Get a quote
View
AChE (eel) Polyclonal Antibody
Cat n°: 23856
Get a quote
View
AcSDKP Polyclonal Antibody
Cat n°: A03881
Get a quote
View
ACTH Polyclonal Antibody
Cat n°: C03164
Get a quote
View
1
2
3
4
»