Skip to content
Contact us
Search
My cart
My account
Products
Close Products
Open Products
Applications
Product Type
Research Area
Supplier
Cell-Based Assay
Chemiluminescence
Click Chemistry
Electrophoresis
ELISA
Enzyme Activity
EPR/ESR
Flow Cytometry
Fluorescence
High-Throughput Screening
Immunocytochemistry
Immunofluorescence
Immunohistochemistry
Immunoprecipitation
Mass Spectrometry
Multiplex
Reverse Transfection Reporter Assay
Sample preparation
TR-FRET
Western Blot
Antibodies
Assay Kits
Biochemicals
Disposable
Proteins
Cancer
Cardiovascular Disease
Cell Biology
Eicosanoids & Lipids
Endocrinology & Metabolism
Epigenetics
Epigenetics, Transcription & Translation
Forensic Chemistry & Toxicology
Immunology & Inflammation
Lipid Biochemistry
Metabolism
Neuroscience
Nitric Oxide & Oxidative Injury
Oxidative Stress & Reactive Species
Plant Biology
Toxicology
Bertin Bioreagent
Cayman
Research domains
Close Research domains
Open Research domains
Immunology
Metabolism
Neurosciences
Endocrinology
Hypertension
Oxidative injury
Allergy
Inflammation
Immunoglobulins
Pain
Diabetes
Obesity
Prion
Resources
News
About us
Home
/
Proteolysis
Proteolysis - page 4
There are 23197 products
Search
Search
Search
Clear
Supplier
Supplier
Supplier
None
Bertin Bioreagent
Cayman
Product Type
Product Type
Product Type
None
Antibodies
Assay Kits
Biochemicals
Disposable
Proteins
Application
Application
Application
None
Cell-Based Assay
Chemiluminescence
Click Chemistry
Electrophoresis
ELISA
Enzyme Activity
EPR/ESR
Flow Cytometry
Fluorescence
High-Throughput Screening
Immunocytochemistry
Immunofluorescence
Immunohistochemistry
Immunoprecipitation
Mass Spectrometry
Multiplex
Reverse Transfection Reporter Assay
Sample preparation
TR-FRET
Western Blot
p38? MAPK Rabbit Monoclonal Antibody (Clone RM245)
Cat n°: 32199
€
615.00
€
522.75
Add to cart
View
Pentobarbital-d
5
Cat n°: 20968
Contact us
View
Phenanthrene
Cat n°: 34284
From
€
49.00
€
41.65
Select your size
View
Polygodial
Cat n°: 14979
From
€
48.00
€
40.80
Select your size
View
PRL-8-53 (hydro
chloride)
Cat n°: 26208
Contact us
View
Promethazine (hydro
chloride)
Cat n°: 16478
Contact us
View
Prostaglandin F
2?
isopropyl ester
Cat n°: 16030
From
€
106.00
€
90.10
Select your size
View
PtdIns-
(5)-
P
1
(1,2-
dihexanoyl) (sodium salt)
Cat n°: 10008050
From
€
94.00
€
79.90
Select your size
View
Pyridoxatin
Cat n°: 27607
From
€
122.00
€
103.70
Select your size
View
Questiomycin A
Cat n°: 27623
From
€
102.00
€
86.70
Select your size
View
R-59-949
Cat n°: 21221
From
€
48.00
€
40.80
Select your size
View
Resistomycin
Cat n°: 20685
From
€
276.00
€
234.60
Select your size
View
Ro 41-0960
Cat n°: 29621
From
€
60.00
€
51.00
Select your size
View
SARS-CoV/SARS-
CoV-2 Nucleocapsid Protein Polyclonal Antibody
Cat n°: 31429
From
€
288.00
€
244.80
Select your size
View
SLF
Cat n°: 10007974
From
€
139.00
€
118.15
Select your size
View
SN-011
Cat n°: 34890
From
€
74.00
€
62.90
Select your size
View
Sphingosine-
1-phosphate-
d
7
(d18:1)
Cat n°: 10008121
From
€
548.00
€
465.80
Select your size
View
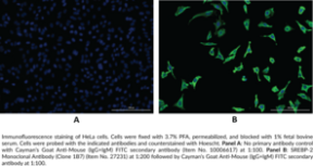
SREBP-2 Monoclonal Antibody (Clone 1B7)
Cat n°: 27231
€
474.00
€
402.90
Add to cart
View
Stigmasterol
Cat n°: 18079
From
€
55.00
€
46.75
Select your size
View
Suberylglycine
Cat n°: 34619
From
€
74.00
€
62.90
Select your size
View
Suc-
Leu-
Tyr-
AMC
Cat n°: 10008120
From
€
55.00
€
46.75
Select your size
View
TAK-
632
Cat n°: 16285
From
€
48.00
€
40.80
Select your size
View
Taurocholic Acid-d
4
(sodium salt)
Cat n°: 21891
From
€
91.00
€
77.35
Select your size
View
Telatinib
Cat n°: 26203
From
€
148.00
€
125.80
Select your size
View
tetranor-
PGDM ELISA Antiserum
Cat n°: 401002
From
€
136.00
€
115.60
Select your size
View
TNFRSF7/CD27 Extracellular Domain (human, recombinant)
Cat n°: 31828
From
€
505.00
€
429.25
Select your size
View
TNP-ATP (triethyl
ammonium salt)
Cat n°: 20902
€
365.00
€
310.25
Add to cart
View
Triflu
promazine (hydro
chloride)
Cat n°: 27610
From
€
48.00
€
40.80
Select your size
View
VU0155069
Cat n°: 13206
From
€
55.00
€
46.75
Select your size
View
Y11
Cat n°: 18521
From
€
66.00
€
56.10
Select your size
View
Yangonin
Cat n°: 14351
From
€
92.00
€
78.20
Select your size
View
YM-90K (hydro
chloride hydrate)
Cat n°: 30683
From
€
92.00
€
78.20
Select your size
View
Zanamivir
Cat n°: 15123
From
€
49.00
€
41.65
Select your size
View
Zinpyr-
1
Cat n°: 15122
From
€
74.00
€
62.90
Select your size
View
Zoniporide (hydro
chloride)
Cat n°: 16004
From
€
55.00
€
46.75
Select your size
View
Zymostenol
Cat n°: 26209
From
€
157.00
€
133.45
Select your size
View
α-D-Glucose-1,6-bisphosphate (potassium salt hydrate)
Cat n°: 30572
From
€
140.00
€
119.00
Select your size
View
Δ
9
-THC-C8
Cat n°: 35081
Contact us
View
1
2
3
4
…
578
579
580
»